病理医师带你认识乳腺“叶状肿瘤”
乳腺叶状肿瘤,这一名称对于非医学专业的人来说可能比较陌生。但作为一种乳腺疾病,它在临床中并不罕见。今天,我将以一名病理医师的身份,带大家深入了解乳腺叶状肿瘤的相关知识。
一、什么是乳腺叶状肿瘤?
乳腺叶状肿瘤,又称乳腺叶状囊肉瘤,是一种较为罕见的乳腺肿瘤。它起源于乳腺的间质成分,与常见的乳腺癌(起源于乳腺上皮)有所不同。叶状肿瘤的名称来源于其显微镜下的外观,肿瘤由叶状排列的间质细胞和上皮成分组成,这些细胞在显微镜下呈现出一种特有的叶状结构。
二、乳腺叶状肿瘤如何分类?
乳腺叶状肿瘤可以根据其生物学行为和组织学特点分为良性、交界性和恶性三类。这些分类对于后续的治疗和预后评估具有重要意义。
良性叶状肿瘤:良性叶状肿瘤通常生长缓慢,边界清晰,不会发生转移。显微镜下观察,良性叶状肿瘤的细胞形态相对单一,核分裂像较少,且没有明显的恶性特征。手术切除后,预后良好,复发率较低。
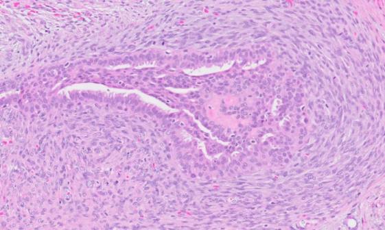
交界性叶状肿瘤:交界性叶状肿瘤是介于良性叶状肿瘤和恶性叶状肿瘤之间的一种类型。其生物学行为和组织学特征介于良性和恶性之间,具有一定的侵袭性,但转移能力较弱。手术后需要密切随访,以防复发或恶变。

交界性叶状肿瘤镜下影像
恶性叶状肿瘤:恶性叶状肿瘤生长迅速,边界不清,具有较强的侵袭性和转移能力。显微镜下观察,恶性叶状肿瘤的细胞形态多样,核分裂像多且异型性明显,具有明显的恶性特征。手术切除后复发率高,需要辅助放疗或化疗来控制病情。
三、乳腺叶状肿瘤的症状和诊断
乳腺叶状肿瘤的症状主要包括乳房肿块和疼痛。这些症状可能与乳腺癌和其他乳腺疾病相似,但它们也有一些独特的表现。例如,肿块通常质地较硬,边界不清,活动度差。疼痛可能是持续性的或与月经周期有关。
诊断乳腺叶状肿瘤需要结合多种方法。首先,医生会询问患者的症状和病史,并进行体格检查,检查乳房是否有异常肿块或增厚。然后,医生会进行一系列影像学检查,如乳腺超声、乳腺X线摄影(钼靶)和乳腺磁共振成像(MRI),以评估肿块的形态、大小、边缘和与周围组织的关系。这些影像学检查可以帮助初步判断肿块的性质。
然而,最终确诊乳腺叶状肿瘤需要通过病理学检查。医生可以通过穿刺活检或手术切除肿块,然后对取出组织进行病理学检查。病理学检查包括显微镜下观察细胞的形态、大小、染色深浅等特征,以及进行必要的免疫组化染色等辅助检查,以明确肿瘤的诊断和分类。只有通过病理学检查才能最终确定乳腺叶状肿瘤的性质和分类,为后续的治疗和预后评估提供准确的依据。
四、乳腺叶状肿瘤如何治疗?
乳腺叶状肿瘤的治疗以手术切除为主,辅以放疗和化疗。
手术切除:是治疗乳腺叶状肿瘤的首选方法。根据肿瘤的性质和大小,可以选择乳房保留手术或全乳房切除术。对于恶性叶状肿瘤,可能还需要进行腋窝淋巴结清扫。
放疗:主要用于恶性叶状肿瘤的辅助治疗,可以减少局部复发的风险。放疗通常在手术后进行,根据具体情况制定放疗方案。
化疗:对于恶性程度高、转移风险大的乳腺叶状肿瘤,可能需要化疗来控制病情。化疗方案通常根据患者的具体情况和肿瘤的生物学特点来制定。
五、乳腺叶状肿瘤的预后和随访
乳腺叶状肿瘤的预后与肿瘤的分类、分期和治疗方式密切相关。良性叶状肿瘤预后良好,交界性和恶性叶状肿瘤则需要密切随访,及时发现和处理复发或转移。
预后因素:肿瘤的分类(良性、交界性、恶性)、分期(早期、晚期)和患者的年龄、身体状况等都是影响预后的重要因素。
随访:对于交界性和恶性叶状肿瘤患者,手术后需要定期进行乳腺检查、影像学检查和血液学检查,以便及时发现和处理复发或转移。随访的频率通常根据患者的具体情况和医生的建议来确定。
六、结语
乳腺叶状肿瘤虽然是一种较为罕见的乳腺疾病,但通过及时的诊断和治疗,大多数患者都能获得良好的预后。作为一名病理医师,我希望通过本文的科普,能够帮助大家更好地了解乳腺叶状肿瘤的相关知识,增强自我保健意识,做到早发现、早治疗。同时,也提醒大家关注乳腺健康,定期进行乳腺检查,守护自己和家人的健康。
